Fracturas de radio distal
Las fracturas de radio distal son lesiones comunes que pueden afectar significativamente la funcionalidad de la mano y el antebrazo. Este artículo está diseñado para ayudar a los pacientes a comprender mejor esta afección y sus opciones de tratamiento, basándose en estudios recientes y guías médicas.
ENFERMEDADES
Alfonso Galán Jáuregui
8/7/20243 min read


Fractura de Radio Distal: Todo lo que Necesitas Saber
Las fracturas de radio distal son lesiones comunes que pueden afectar significativamente la funcionalidad de la mano y el brazo. Este artículo está diseñado para ayudar a los pacientes a comprender mejor esta afección y sus opciones de tratamiento, basándose en estudios recientes y guías médicas.
¿Qué es una Fractura de Radio Distal?
Una fractura de radio distal es una fisura o rotura en la parte más distal del hueso del radio, cerca de la muñeca. La fractura puede variar desde una pequeña fisura en el hueso hasta una fractura compleja donde el hueso se rompe en varios pedazos. Las fracturas de radio distal son más comunes que otras fracturas de la muñeca.
Causas y Factores de Riesgo
Las principales causas de las fracturas de radio distal incluyen:
Caídas: A menudo, las fracturas de radio distal ocurren cuando una persona cae y aterriza con la mano extendida.
Impactos Directos: Golpes fuertes en la muñeca pueden causar fracturas.
Osteoporosis: Esta condición debilita los huesos y aumenta el riesgo de fracturas, especialmente en personas mayores.
Deportes de Alto Impacto: Deportes como el patinaje, el esquí y el ciclismo aumentan el riesgo de fracturas.
Síntomas
Los síntomas de una fractura de radio distal pueden incluir:
Dolor intenso en la muñeca que empeora con el movimiento.
Hinchazón y sensibilidad alrededor de la muñeca.
Moretones en la muñeca.
Deformidad visible, donde la muñeca puede verse torcida o fuera de lugar.
Dificultad para mover la mano y los dedos.
Diagnóstico
El diagnóstico de una fractura de radio distal generalmente se realiza mediante un examen físico y pruebas de imagen:
Radiografías: Son la herramienta principal para visualizar las fracturas de muñeca.
Tomografía Computarizada (TC): Puede proporcionar imágenes más detalladas si la radiografía no es concluyente.
Resonancia Magnética (RM): Puede ser útil para evaluar daños en los tejidos blandos alrededor de la muñeca.
Opciones de Tratamiento
Tratamientos Conservadores
Inmovilización: Utilizar un yeso o una férula puede ayudar a mantener los huesos en su lugar mientras sanan. Este tratamiento es adecuado para fracturas que no están desplazadas.
Medicamentos: Los analgésicos y los antiinflamatorios no esteroides pueden ayudar a reducir el dolor y la inflamación.
Rehabilitación: Ejercicios de fortalecimiento y estiramiento pueden ser necesarios una vez que la fractura ha sanado para recuperar la movilidad y la fuerza.
Tratamientos Quirúrgicos
Cuando las fracturas son complejas o están desplazadas, puede ser necesaria la cirugía:
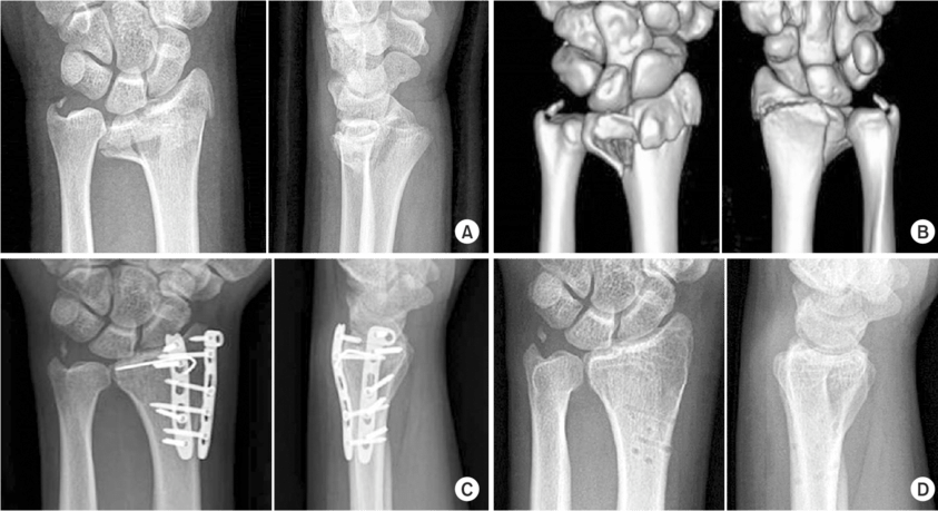
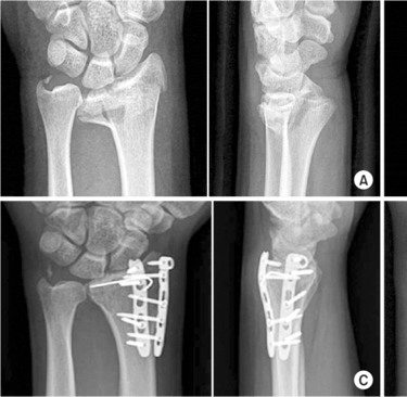
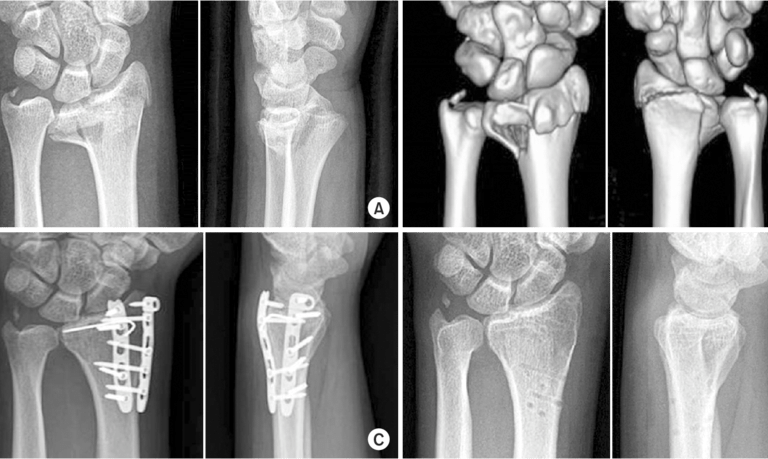
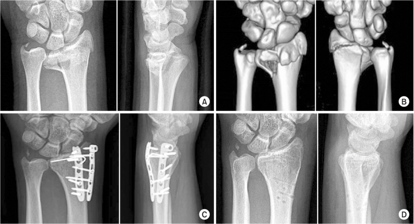
Reducción Abierta y Fijación Interna (ORIF): Este procedimiento implica la colocación de placas y tornillos para mantener los huesos en su lugar.
Fijación Externa: Se utilizan pines y una estructura externa para mantener los huesos en su lugar.
Percutánea Fijación con Agujas de Kirschner: Se insertan agujas a través de la piel para estabilizar la fractura.
Conclusión
Las fracturas de radio distal son lesiones serias que requieren un diagnóstico y tratamiento adecuados para asegurar una recuperación completa. Si experimentas síntomas de una fractura de radio distal, consulta a tu médico para un diagnóstico preciso y un plan de tratamiento adecuado. Con las intervenciones adecuadas, es posible aliviar los síntomas y recuperar la funcionalidad completa de la muñeca.
Fuentes
Change Healthcare LLC. Fractura de Radio Distal. Adult Advisor 2023.2.
Mauck BM, Swigler CW. Evidence-Based Review of Distal Radius Fractures. Orthop Clin N Am. 2018;49(2):211-222.


